罕见胸腔巨大肿物 非常思路巧妙摘除
东北国际医院 次 (0)次
病理科术中冰冻病理紧急报告:“切除肿瘤最大直径31cm,考虑低度恶性,部分侵及肺组织,完整切除。”
听到这个结果,隔着口罩也能看到东北国际医院胸外科高昕主任脸上绽放出欣慰的笑容。
躺在手术床上的马先生是一位55岁身高168cm的壮年汉子。
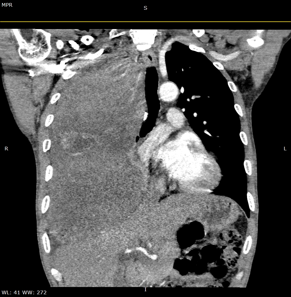
他是家庭的顶梁柱,平素对自己很少在意,可近两年来却没有诱因慢慢的出现消瘦,到医院做了CT检查,结果让检查的医生大吃一惊:右胸巨大肿物,已经“霸占”了右侧整个胸腔,患者右肺三个肺叶基本处于外压肺不张状态,只剩下左侧的两个肺叶在工作。
家人马上陷入了混乱之中,四处的求医,四处的打听,可这么大的肿瘤真的是“史无前例”,各大医院在看过病人资料后给出的都是模棱两可的说辞:“可以手术,但难度极大!风险极大!”
最后,患者经人介绍来到了东北国际医院,胸外科高昕主任在仔细研究了病人资料后表示:“右胸巨大肿瘤;肿瘤向上压迫胸膜顶端,向下压迫膈肌迫使肝肾向腹移位,向内挤压右肺上中叶向肺门内上方,向外挤压左肺下叶向后下方,右侧肺叶因肿瘤压迫呈现肺不张状态;增强CT可见血运似乎来自胸膜顶及肺叶,全身具有典型的肺外症状,如周身关节疼痛,典型的杵状指等,需要手术治疗。但如此罕见的巨大肿瘤,手术难度及风险很大,既然患者及家属多次表态,对我们的技术及能力十分相信,可以收入院完善检查,准备手术治疗”。
听到这个结果,隔着口罩也能看到东北国际医院胸外科高昕主任脸上绽放出欣慰的笑容。
躺在手术床上的马先生是一位55岁身高168cm的壮年汉子。
他是家庭的顶梁柱,平素对自己很少在意,可近两年来却没有诱因慢慢的出现消瘦,到医院做了CT检查,结果让检查的医生大吃一惊:右胸巨大肿物,已经“霸占”了右侧整个胸腔,患者右肺三个肺叶基本处于外压肺不张状态,只剩下左侧的两个肺叶在工作。
家人马上陷入了混乱之中,四处的求医,四处的打听,可这么大的肿瘤真的是“史无前例”,各大医院在看过病人资料后给出的都是模棱两可的说辞:“可以手术,但难度极大!风险极大!”
最后,患者经人介绍来到了东北国际医院,胸外科高昕主任在仔细研究了病人资料后表示:“右胸巨大肿瘤;肿瘤向上压迫胸膜顶端,向下压迫膈肌迫使肝肾向腹移位,向内挤压右肺上中叶向肺门内上方,向外挤压左肺下叶向后下方,右侧肺叶因肿瘤压迫呈现肺不张状态;增强CT可见血运似乎来自胸膜顶及肺叶,全身具有典型的肺外症状,如周身关节疼痛,典型的杵状指等,需要手术治疗。但如此罕见的巨大肿瘤,手术难度及风险很大,既然患者及家属多次表态,对我们的技术及能力十分相信,可以收入院完善检查,准备手术治疗”。

入院检查结果非常不乐观,患者血气分析结果显示血氧分压仅仅68mmHg,而且还具有严重的低血钾、低蛋白血症;由于肿瘤消耗,空腹血糖最低时仅仅1.07mmol/L,这个数值已经可能发生低血糖昏迷了。
如此巨大的肿瘤,如此复杂的病情,如此困难的手术,对高昕主任这位在手术台上做过无数疑难手术的高手来说都是第一次,调控围手术期各项生命体征参数,采用近年才刚刚在国内少数大医院逐渐开展的3D重建技术,用DICOM薄层文件重建了肿瘤及肺脏、胸廓等结构,制定手术预案,整个科室都在为这个罕见肿瘤的不寻常手术忙碌的准备着。

手术的切口入路选择及解剖步骤设计非常关键,因为人的胸腔像一个鸟笼子一样被肋骨、胸骨等骨性胸廓结构保护着,如何良好的暴露肿瘤血运,安全切除切除肿瘤,再从一根根肋骨之间拿出肿瘤都成了大难题!
难度之一是解剖:肿瘤巨大,可能打开胸腔之后只能看到巨大的肿瘤,而不能对肿瘤供血血管进行良好的暴露和解剖,一旦出现大出血,可能危及生命。因此需要术中胸腔镜辅助,尽量采用切割闭合器离断肿瘤血管蒂,缩短手术时间,减少手术风险。
难度之二是手术入路:如果采用传统的后外侧切口,虽然能够良好的暴露肿瘤,但关键的蒂部不能良好显示,手术风险增高;劈开胸骨,可以良好的暴露肺门,离断肿瘤供血血管,但取出肿瘤又不太可能;一个个方案提出来又被否定;最后高昕主任决定另辟蹊径,采取前外侧切口,必要时离断相临肋骨或肋弓,这样,既能良好的暴露肿瘤的血管蒂,又能经过肋间隙相对较宽的前方取出肿瘤。
难度之三是围手术期管理,侧卧位可能因为肿瘤向下压迫左侧正常肺叶出现低氧血症;肿瘤压迫纵隔血管心脏可能出现回心血下降心博不足低血压;肿瘤切除过程中可能出现大出血需要快速输血补液;肿瘤移除后突然减压可能出现回心血上升进而导致急性心衰;长期受压迫的肺脏突然复张可能出现复张性肺水肿;手术创伤巨大,术后可能需要呼吸机辅助……
手术之前的几天,高昕主任度过了数个“不眠之夜”,因为太多的“第一次”,太多的可能性,没有资料可查,没有经验可循,都需要术者在心里反复的思考所有的可能性,并作出充分的预案!
一切准备就绪,4月29日,高昕主任率领手术团队开始了这场史无前例的困难手术,因为采用了前外侧切口,右肺下叶及中叶的两处血管蒂及受侵肺组织被安全离断,但巨大肿物把上部胸腔几乎完全占满了,胸膜顶的粘连离断成了大问题,最后,高昕主任巧妙的于前内侧借助胸腔镜显示,用超声刀分束离断了血管蒂,经由切口勉强“娩出”了肿瘤。
难度之一是解剖:肿瘤巨大,可能打开胸腔之后只能看到巨大的肿瘤,而不能对肿瘤供血血管进行良好的暴露和解剖,一旦出现大出血,可能危及生命。因此需要术中胸腔镜辅助,尽量采用切割闭合器离断肿瘤血管蒂,缩短手术时间,减少手术风险。
难度之二是手术入路:如果采用传统的后外侧切口,虽然能够良好的暴露肿瘤,但关键的蒂部不能良好显示,手术风险增高;劈开胸骨,可以良好的暴露肺门,离断肿瘤供血血管,但取出肿瘤又不太可能;一个个方案提出来又被否定;最后高昕主任决定另辟蹊径,采取前外侧切口,必要时离断相临肋骨或肋弓,这样,既能良好的暴露肿瘤的血管蒂,又能经过肋间隙相对较宽的前方取出肿瘤。
难度之三是围手术期管理,侧卧位可能因为肿瘤向下压迫左侧正常肺叶出现低氧血症;肿瘤压迫纵隔血管心脏可能出现回心血下降心博不足低血压;肿瘤切除过程中可能出现大出血需要快速输血补液;肿瘤移除后突然减压可能出现回心血上升进而导致急性心衰;长期受压迫的肺脏突然复张可能出现复张性肺水肿;手术创伤巨大,术后可能需要呼吸机辅助……
手术之前的几天,高昕主任度过了数个“不眠之夜”,因为太多的“第一次”,太多的可能性,没有资料可查,没有经验可循,都需要术者在心里反复的思考所有的可能性,并作出充分的预案!
一切准备就绪,4月29日,高昕主任率领手术团队开始了这场史无前例的困难手术,因为采用了前外侧切口,右肺下叶及中叶的两处血管蒂及受侵肺组织被安全离断,但巨大肿物把上部胸腔几乎完全占满了,胸膜顶的粘连离断成了大问题,最后,高昕主任巧妙的于前内侧借助胸腔镜显示,用超声刀分束离断了血管蒂,经由切口勉强“娩出”了肿瘤。

因为术前详细的预案制定,术中一切操作行云流水,没有半点耽搁,仅仅耗时两个小时,手术几乎是按照高昕主任设计的步骤顺利完成!经过测量,离体肿瘤最大径31厘米,重3.5Kg,送检冰冻病理,回报低度恶性,侵及的部分肺组织完整切除,肿瘤达到了临床根治。

术后顺利拔管,送回胸外科普通病房,术后3天拔管,术后8天,患者顺利拆线出院。
如此罕见巨大肿物的病人,如此复杂的术前议合,如此契合的手术过程,如此顺利的术后恢复可以说是绝无仅有。患者及家属出院前送来锦旗,并反复多次表达感激之情,高昕主任只是淡淡的说:“这样的疑难病例,高危手术,我们不做,可能患者就会面临更大的危险,为患者解决病痛是我们外科医生应该做的,这并不算什么。”这种举重若轻的回答,这种踏实做事的态度,正是中一东北国际医院“我行!我能!”的真切体现。
Tips:
我科完成此例浸及肺中、下叶的巨大胸腔内肿瘤根治性切除手术,肿瘤最大径实测31㎝,经国内检索CNKI(国内最大径报道30cm)及国外检索Pubmed(国外最大径报道24cm),证实切除胸部肿瘤最大径31cm为世界之最,而且外院手术多为离断多跟肋骨或胸骨,创伤较大,我院创新性经前外侧切口,经肋间操作切除肿瘤,创伤小恢复快,不愧是"东北国际"水准。
上一篇: 要命的气管软化

