头部伽马刀治疗脑转移瘤(八)
放疗科提供 次 (0)次
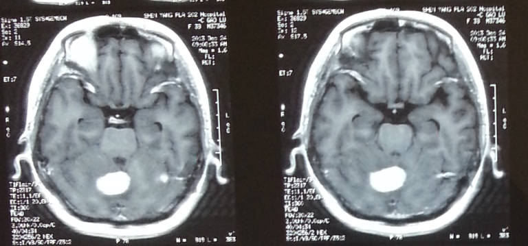
患者高某 女 38岁 乳腺导管癌化疗后脑转移
治疗前

治疗后10个月后复查,肿瘤已经消失

治疗前

治疗后10个月后复查,肿瘤已经消失

上一篇: 头部伽马刀--脑部肿瘤康复神器
下一篇: 头部伽马刀治疗脑转移瘤(八)

